Invisalign® before & afters
Incredible results and inspiring journeys; see some of our patients’ before and after photos the next time you visit our practice.
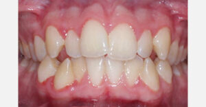
Case 1

Before

After
Case 2

Before

After
Case 3

Before

After
Case 4

Before

After